EN
AR
Vasculitis on Black Blood imaging
visual background image


Black Blood 
MRI imaging of
HIV patient with 
brain vasculitis

We are always interested in engaging with you.

Let us know how we can help.

1
Select your area of interest
2
Contact details

FieldStrength MRI magazine

User experiences - April 2017

Black Blood imaging helped in suggesting the diagnosis and choosing the treatment


In a patient with HIV and cardiovascular risk factors, MRI with Black Blood imaging helped to diagnose brain vasculitis. The same MRI protocol was later also used to noninvasively confirm treatment response.

Dr Sadeghi Erasme

Niloufar Sadeghi MD, PhD is neuroradiologist at Erasme Hospital in Brussels, Belgium since 2000. She completed her PhD in 2010 and has been recently nominated as professor.

Patient history


A 56-year-old patient presented in the Emergency Room at Erasme Hospital in Brussels, Belgium, with recurrent left leg weakness that had been occurring over a period of 24 hours. The patient was known to have been HIV infected for four years, but was not treated for this infection. The patient had multiple cardiovascular risk factors such as obesity, glucose intolerance, arterial hypertension and hyper cholesterolemia. The neurological examination showed left leg hemiparesis.

MRI examination with Black Blood imaging


After a conventional routine MR imaging examination, the suspicion of vasculitis arose, therefore we performed an MRI including Black Blood imaging in a separate session. The dedicated ExamCard includes diffusion, FLAIR, MR angiography 
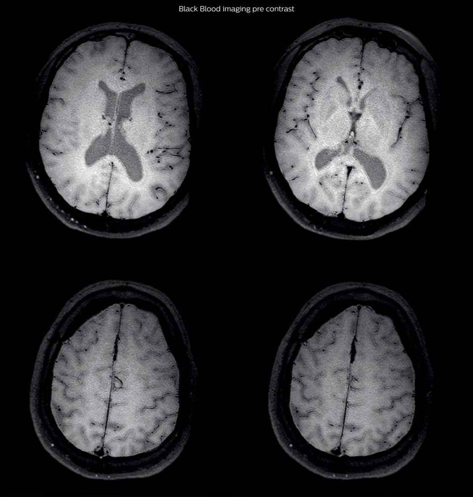
using TOF, and 3D T1 MRA with bolus injection. This ExamCard also includes Black Blood imaging before and after contrast. This examination was performed on our Ingenia 3.0T. Black Blood scan time 4:39 min, acquired voxel size 0.75 x 0.75 x 1.0 mm, 21 slices.

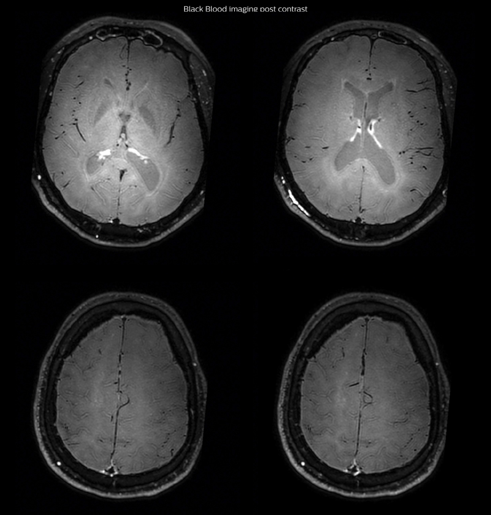
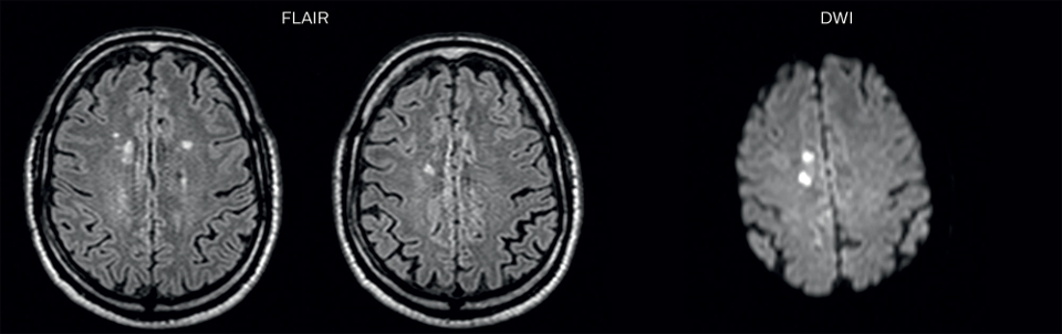
On FLAIR images we can see some nonspecific high signal abnormalities in frontal white matter bilaterally. On DWI we can see acute ischemic lesions which appear with high signal intensity. Arrows show vessel wall enhancement which appears concentric and homogeneous in different cerebral territories.

Black Blood Imaging Case 1 A2
Black Blood Imaging Case 1 B Pre contrast1
Black Blood Imaging Case 1 C Post contrast1

Arrows show vessel wall enhancement which appears concentric and homogeneous in different cerebral territories.

Discussion of findings

 

On the routine MR sequences that we did, we could see acute

ischemic lesions. We see them very well on the diffusion images,

where acute ischemic lesions usually appear with high signal

intensity and restricted diffusion. However, the etiology of these

lesions cannot be derived from these images.
 

An area of restricted diffusion was seen in the anterior cerebral

artery territory and we concluded it was an ischemic lesion. On

MR angiography we can just see if there is stenosis or vessel

occlusion, but it does not provide us information on the etiology

of this kind of lesion.
 

So, we decided to perform Black Blood imaging. The presence

and the pattern of vessel wall enhancement on Black Blood

imaging, can help us to determine the etiology of the lesion.


Many studies have shown that Black Blood imaging can help

differentiate vasculitis from other causes of vasculopathy, such as

atherosclerosis, with a high specificity [1-3]. In an atherosclerotic

lesion, vessel wall thickening and enhancement are usually eccentric,

while in vasculitis the wall thickening and enhancement are usually

concentric, homogenous, and in a long portion of the vessel.


Furthermore, this imaging can also be used for the follow-up

of patients whenever their treatment is installed in order to

determine the efficacy of a particular treatment.
 

In this case the Black Blood imaging helped us to suggest the

diagnosis of HIV-related brain vasculitis.

Impact of Black Blood imaging for this patient


With the multiple cardiovascular risk factors this patient

had, such as glucose intolerance, arterial hypertension and

hypocholesteremia, his lesions could be atherosclerotic lesions or

vasculitis, conditions which require different treatment. Especially

in this patient with HIV infection causing the vasculitis, treatment

of the two conditions is different.
 

The results of MRI with Black Blood imaging, helped to choose the

preferred treatment for this patient, which was based on antiviral

medication rather than an antiaggregant or anticoagulation

treatment which is usually given to patients with risk of ischemia

based on atherosclerotic lesions.
 

One month after beginning the antiviral treatment, the same

MRI examination was repeated and again 8 months after the

beginning of treatment. On follow-up images, we see the

enhancements have almost disappeared.
 

So in case of this patient, the MRI exam with Black Blood imaging

helped us to give the patient the appropriate treatment and also

allowed us to noninvasively confirm the treatment response.

Black Blood imaging after one month


After one month of treatment, post-contrast Black Blood images at the exact same levels as in the figure above show disappearance of the vessel wall enhancements which were seen on the previous examination.

Black Blood Imaging Case 2 Post contrast1

The importance of Black Blood imaging


Black Blood imaging can help us to noninvasively visualize vessel

wall thickening and enhancement patterns that occur in vasculitis,

and help us distinguish it from atherosclerotic lesions. Imaging

techniques such as time-of-flight (TOF) MR angiography are not

very sensitive or specific for this kind of lesions. Other possible

diagnostic methods are intra-arterial angiography or brain

biopsies which are both invasive.


Recommendations for using Black Blood imaging


We do not perform this examination with Black Blood imaging

on all patients with ischemic lesions in the brain, because in

most patients the lesion origin is embolic or atherosclerotic. We

typically use it in young patients (less than 60 years old) or those

patients without cardiovascular risk factors. We find it important

to use Black Blood imaging in such cases, because treatment is

different for a patient with vasculitis.

References

1. Swartz RH, Bhuta SS, Farb RI, Agid R, Willinsky RA, Terbrugge KG, et al. Intracranial arterial wall imaging using high-resolution 3-tesla contrast-enhanced MRI. Neurology. 2009 Feb 17;72(7):627–34.

2. Obusez EC, Hui F, Hajj-Ali RA, Cerejo R, Calabrese LH, Hammad T, et al. Highresolution MRI vessel wall imaging: spatial and temporal patterns of reversible

cerebral vasoconstriction syndrome and central nervous system vasculitis. AJNR Am J Neuroradiol. 2014 Aug;35(8):1527–32.

3. Mossa-Basha M, Hwang WD, De Havenon A, Hippe D, Balu N, Becker KJ, et al.

Multicontrast high-resolution vessel wall magnetic resonance imaging and its value

in differentiating intracranial vasculopathic processes. Stroke J Cereb Circ. 2015

Jun;46(6):1567–73.

4. Cheron J, Wyndham-Thomas C, Sadeghi N, Naeije G. Response of Human

Immunodeficiency Virus-Associated Cerebral Angiitis to the Combined Antiretroviral

Therapy. Front. Neurol., 13 March 2017, doi.org/10.3389/fneur.2017.00095

Results from case studies are not predictive of results in other cases. Results in

other cases may vary.

Black Blood MRI brain1

Black Blood imaging

 

Philips Black Blood imaging is 3D brain imaging with reduced

intraluminal blood signal1 over the complete imaging volume

in the brain.

 

It helps you to better differentiate intraluminal blood signal

from other signal, which can enhance diagnostic confidence.

 

The Black Blood sequence allows 

• fast2, isotropic 3D imaging

• higher spatial resolution3

• reformatting in any plane without loss of resolution

 

1. Compared to our 3D T1W scan without MSE prepulse

2. Compared to our 2D double inversion recovery methods with same full brain coverage

3. Compared to our 2D double inversion recovery methods with same brain coverage and scan time

Philips Black Blood imaging is 3D brain imaging with reduced

intraluminal blood signal1 over the complete imaging volume

in the brain.

 

It helps you to better differentiate intraluminal blood signal

from other signal, which can enhance diagnostic confidence.

 

The Black Blood sequence allows 

• fast2, isotropic 3D imaging

• higher spatial resolution3

• reformatting in any plane without loss of resolution

 

1.Compared to our 3D T1W scan without MSE prepulse

2.Compared to our 2D double inversion recovery methods with same full brain coverage

3.Compared to our 2D double inversion recovery methods with same brain coverage and scan time

Subscribe to FieldStrength

 

Our periodic FieldStrength MRI newsletter provides you articles on latest trends and insights, MRI best practices, clinical cases, application tips and more. Subscribe now to receive our free FieldStrength MRI newsletter via e-mail.

Stay in touch with Philips MRI

Fieldstrength fs magazine

Stay in touch with Philips MRI

Subscribe now

You are about to visit a Philips global content page

Continue

You are about to visit a Philips global content page

Continue

Our site can best be viewed with the latest version of Microsoft Edge, Google Chrome or Firefox.