Having diagnostic confidence has always been your goal. With today’s value-based reimbursement structures and demand for improved clinical outcomes, it’s increasingly becoming a necessity. Each step of the diagnostic process should be both and provide quality actionable results. To help this, we provide: Learn how our radiology solutions can help you reach clinical diagnoses efficiently and with confidence.
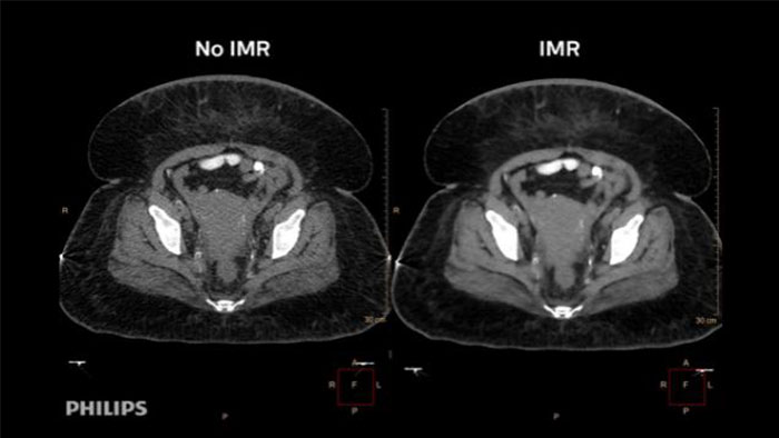
“By using Philips’ advanced imaging techniques like 3D, MIP, and MPR, we can easily bring up images and manipulate them to fine-tune our diagnoses. We get a better idea of the extent of the disease and can make better recommendations to the clinician about what’s going on.” Dr. D’Arcy Little
MD, CCFP, FRCP, Radiologist, Orillia Soldiers’ Memorial Hospital, Orillia, Ontario









