تم تشخيص أحد المرضى لديك بتضيّق في الصمام الأورطي المصحوب بأعراض. يبلغ عمر المريضة 85 عامًا وهي تعاني من السكري وارتفاع ضغط الدم. أنت تدرك خطورة وضعها الصحي ما يجعلها غير مناسبة لجراحة القلب ولكن يسمح لها بأن تكون مرشحة لاستبدال الصمام الأورطي باستخدام القسطرة (TAVR). في يومنا هذا، تمنح حلول التصوير المبتكرة والأجهزة التي تعمل عن طريق الجلد الأمل لبعض المرضى الذين لا تتوفر لهم حتى الآن أي خيارات علاجية أخرى.
تعلّم المزيد حول حلول طب القلب التي تقدمها شركتنا.

تساعدك القياسات الدقيقة للقوس الأورطي باستخدام البيانات ثلاثية الأبعاد في اختيار حجم الجهاز المناسب.

متابعة إجراءات التدخل وتقييمها من خلال الاتصالات الموسّعة بين أعضاء فرق طب القلب.

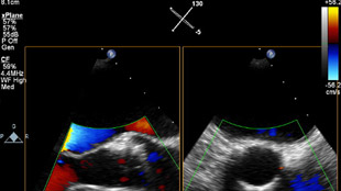
استخدام Live xPlane لتقييم النتائج. ما يتم عرضه هنا: عدم وجود تسريب في المنطقة المجاورة للصمام.
You are about to visit a Philips global content page
Continue